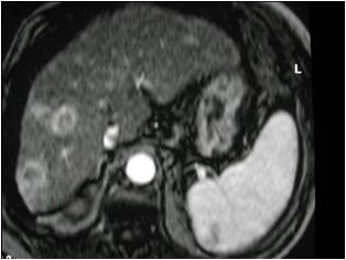
Following gadolinium administration