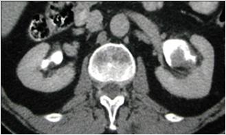
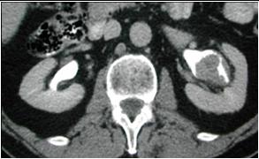
IV contrast shows tumor  in renal pelvis
Transitional cell Ca