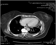
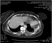
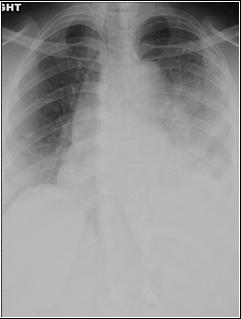
45 yo presents with LUQ pain
Left lower lobe & lingular pneumonia