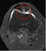
Chondromalacia patellae
Normal