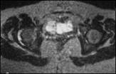
Rheumatoid arthritis
Thickened synovium
Concentric narrowing of joint