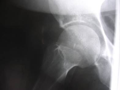
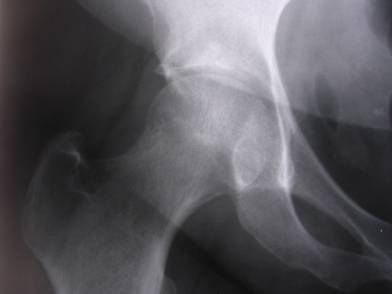
Chronic right hip pain