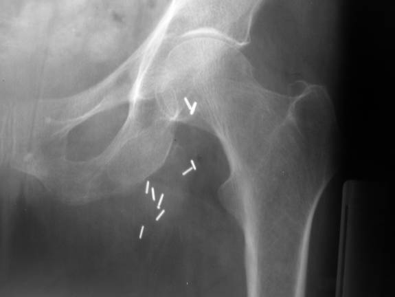
Hip pain after a fall