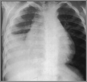
Strep pneumonia