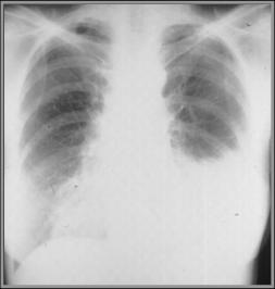
Anaerobic pneumonia with effusion