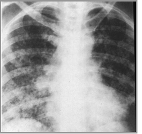
Coccidiomycosis
© Gower