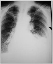
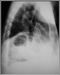
Foramen of Bochdalek Hernia
R3