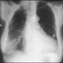
Lupus Pneumonitis