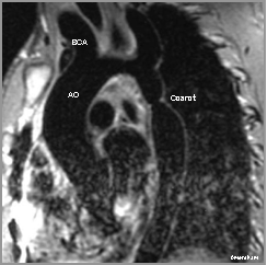
Oblique sagittal spin-echo-Coarctation of the Aorta