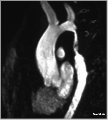
Contrast enhanced MRA shows long segment coarctation of the aorta