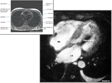
Cine MR image in axial plane demonstrates a
diastolic signal void emanating from the mitral
valve indicative of mitral stenosis