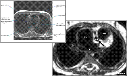
Hypoplastic Left heart Syndrome
Gated spin echo at base of heart shows hypoplastic aorta
(arrow) posterior and right of main pulmonary artery