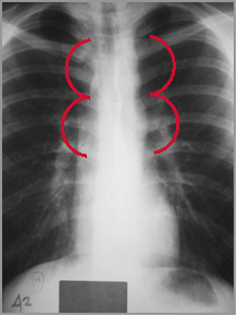
Reverse 3 sign
on barium filled
esophagus
“Figure 3 sign”
caused by
coarctation
Coarctation of the Aorta