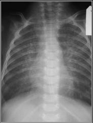
Hypoplastic Left Heart Syndrome