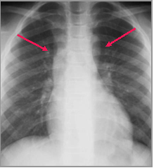
Congenital Aortic Stenosis (10 yo)