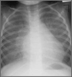
Congenital Mitral Stenosis