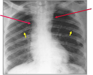
Convexity
above aortic
knob due to
dilated LSCA
or Aorta
proximal to
coarct
Ascending
Ao may be
dilated,
normal or
small
Coarctation of the Aorta