Increased Flow
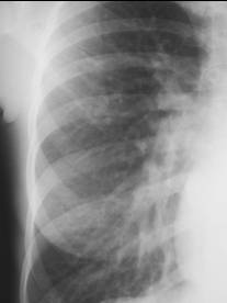
PAH