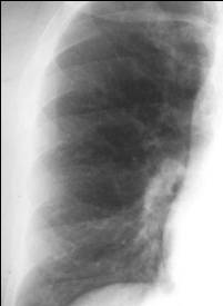
Normal
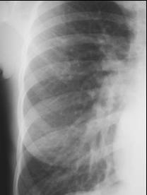
Increased Flow