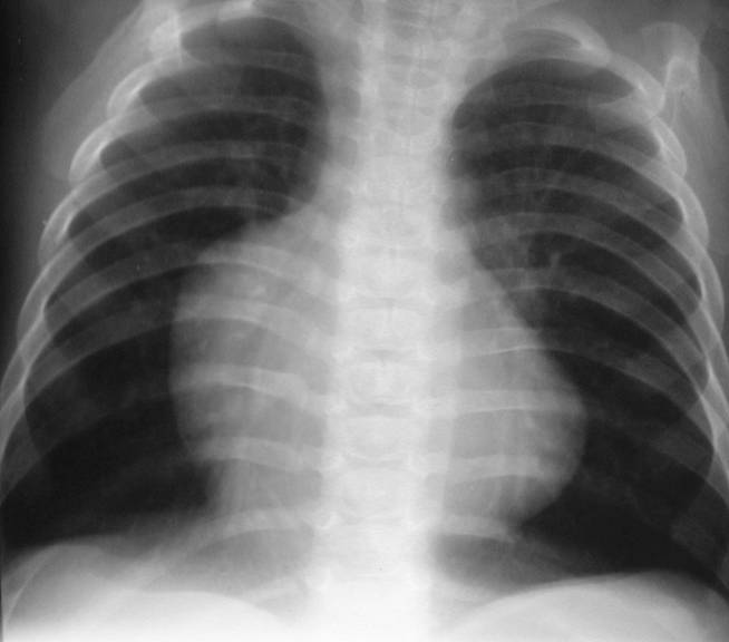
Decreased Flow
Unrecognizable
most of the
time
Small hila
Fewer than
normal blood
vessels