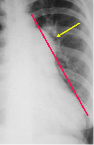
Main
pulmonary
artery
projects
beyond
tangent
Increased
pressure
Increased flow