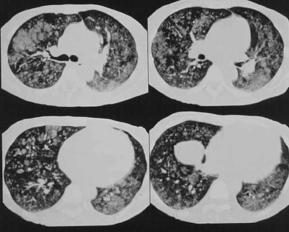
Metastatic Calcification to Lung in Chronic Renal Disease