|
|
Battery Ingestion
General Considerations
- Battery ingestion primarily involves disk or button batteries ingested by children
- Lithium button batteries of 20 mm pose a particular hazard in the esophagus where the current generated by the negative (narrower) side may cause damage within hours after ingestion so that expedited removal is best for this size and type of battery
- Alkaline batteries, those most commonly used in flashlights, tend to produce their adverse effects through release of caustic chemicals
- Their ingestion is more common in adults with a psychiatric history and is frequently intentional
- Alkaline batteries can produce erosions, ulcerations and, infrequently, perforation
- Once they have passed the esophagus, most foreign bodies will pass through the GI tract with the ileocecal valve being the next most likely site of impaction
Clinical Findings
- Difficulty breathing
- Drooling in children
- Neck pain
- Abdominal pain
- GI bleeding
- Perforation
Imaging Findings
- Since all batteries are radioopaque, they can be seen on conventional radiographs
- Fluoroscopy may be helpful if there is a question of a button battery masquerading as a swallowed coin
Differential Diagnosis
- Coins can mimic the appearances of button batteries on conventional radiographs
Treatment
- Button batteries 20 mm or more in diameter still lodged in the esophagus should be removed endoscopically
- Once in the stomach, most button batteries will pass spontaneously
- Most larger objects will pass spontaneously
- Monitor larger batteries for their passage radiographically every 3-4 days and patient should be monitored clinically
- If the object remains in the stomach, it may be removed endoscopically
- Any object that fails to exit the stomach in 3-4 weeks should be removed endoscopically
- Once past the stomach, any object that remains in the same location for more than a week should be considered for removal surgically
- If the object already is producing obstructive symptoms, it is usually removed surgically
Complications
- Overall, the risk of intestinal perforation from any ingested foreign body is less than 1%
 
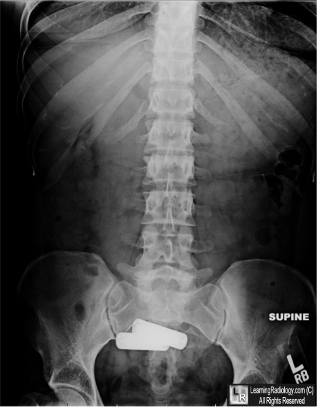
Battery Ingestion. In radiograph of the abdomen on the left, AA batteries are seen
in the region of the stomach (white arrow) and the small bowel (yellow arrow).
Two days later, only two batteries remain in the region of the sigmoid colon (blue arrow).
For these same photos without the arrows, click here and here
For more information, click on the link if you see this icon 
Emerging Battery-Ingestion Hazard: Clinical Implications. Pediatrics 2010;125;1168; originally published online May 24, 2010; T Litovitz, N Whitaker, L Clark, NC White and M Marsolek.
Hunter TB, Taljanovic MS. Foreign bodies. RadioGraphics 2003; 23:731-757.
Surgical Removal of Cylindrical Batteries 6 Years after Ingestion. O Lavon, Y Lurie, B Abbou, B Bishara, SH Israelit and Y Bentur. IMAJ 2008;10:799–801
Guidelines for the management of ingested foreign bodies. American Society For Gastrointestinal Endoscopy. Gastrointestinal Endoscopy, volume 55, no. 7, 2002
|
|
|