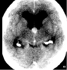
58 year-old with staggering gait and incontinence