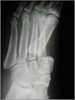
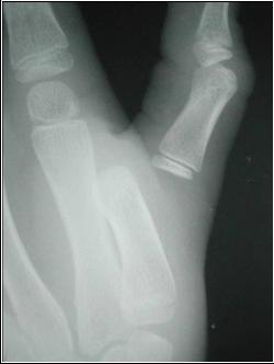
Dislocations