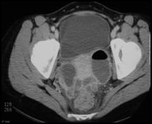
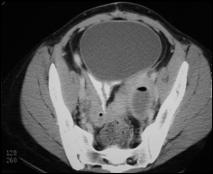
Bilateral tubo-ovarian abscesses with gas
Right                                                             Left