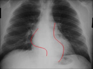
Aortic contour and azygo-esophageal
recess abnormal