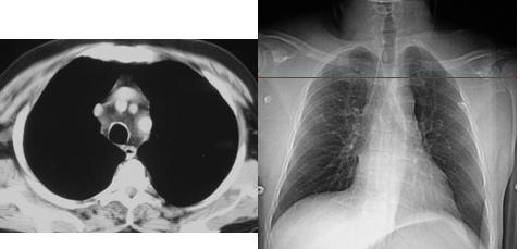
Normal anatomy:
CT/CXR correlation