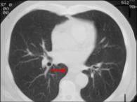
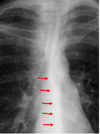
Azygo-esophageal recess