PET
Beware the false positive!
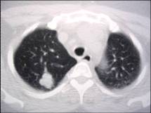
Granulomatous diseases and chronic inflammation
Needle biopsy = TB