PET
Pulmonary mets
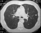
Mediastinal nodes
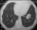
Primary tumor