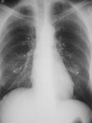
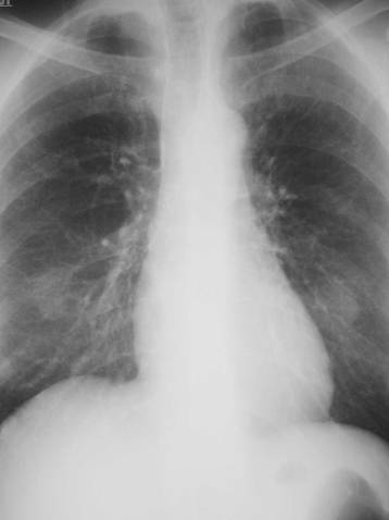
Nipple shadows