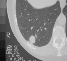
Borders
Benign
Smooth
   (but 21% of malignant
nodules are smooth,
esp. metastases)