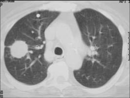
Borders
Malignant
Lobulated
Spiculated
Irregular