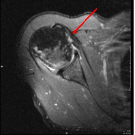
Supscapularis tendon rupture
Usually seen in the setting of dislocation
Normal tendon
Ruptured tendon