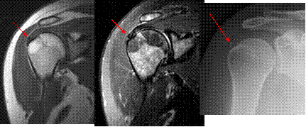
Calcific tendinopathy
Don’t forget to look at the x-rays!