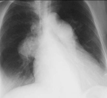
The peripheral pulmonary vasculature is normal whereas the central vasculature is prominent.