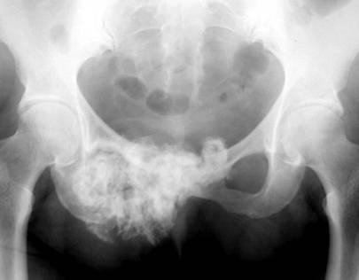
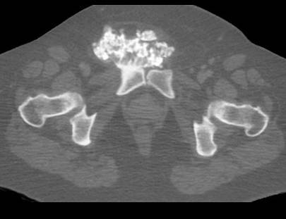
Chondrosarcoma