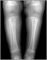
Scurvy