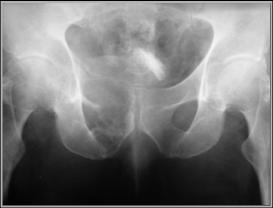
Chondrosarcoma