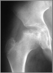
Legg-Calve-Perthe’s Disease