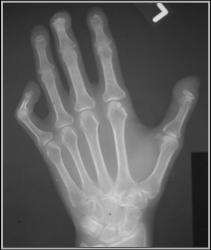
Scleroderma