|
|
Salter-Harris Fractures
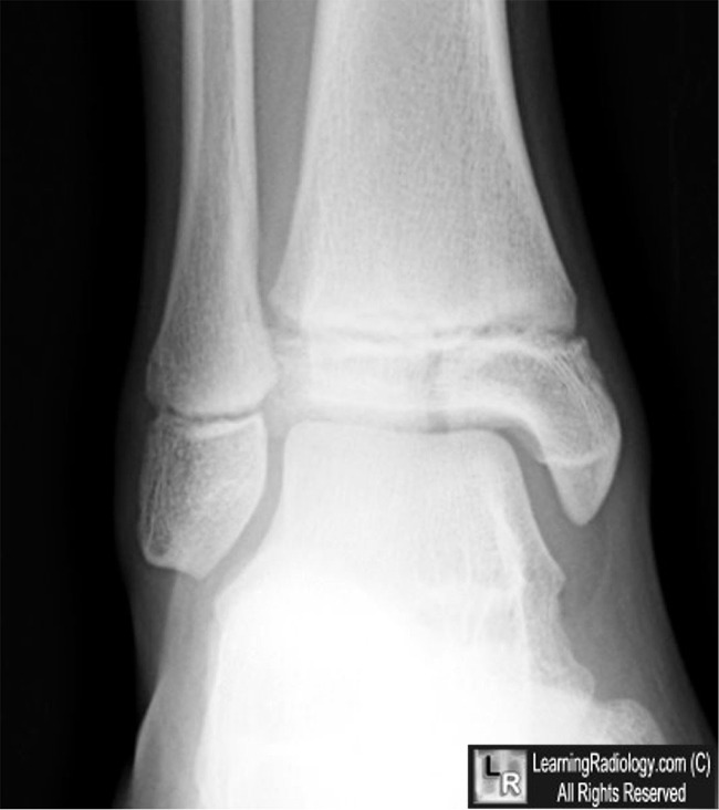
Salter III
- General Considerations
- The epiphyseal plate (physis or growth plate) is the weakest part of the bone to shearing injuries
- The Salter-Harris classification is a means of categorizing epiphyseal plate fractures and provides clues to their prognosis
- All such these fractures, by definition, involve or extend through the epiphyseal plate so that all such fractures occur in children before the epiphyseal plate closes
- Salter-Harris I Fractures

- Occurs through the hypertrophic zone of the epiphyseal plate
- Only the epiphyseal plate is fractured
- Rarely produces complications
- May be difficult to diagnose unless there is visible displacement of the epiphysis on the metaphysis
- Slipped capital femoral epiphysis (SCFE) is an example of a Salter-Harris I fracture
- Salter-Harris II Fractures
- Most common Salter-Harris fracture -85%
- Involves both the epiphyseal plate and the metaphysis
- Small corner of metaphysis that is usually fractured produces the “corner sign”
- Rarely produces complications
- Salter-Harris III Fractures
- Involves the epiphyseal plate and the epiphysis itself
- Since the epiphysis is involved, damage to the articular cartilage can occur
- Growth disturbance is uncommon
- A Tillaux fracture of the ankle is a Salter-Harris III fracture
- Salter-Harris IV Fractures
- Involves the epiphyseal plate, metaphysis and epiphysis
- Since it, too, involves the epiphysis, the articular cartilage can be damaged
- Since these fractures involve the growing layer of cartilage, growth disturbance can result
- Salter-Harris V Fractures
- Rare
- Compression or crushing injury of epiphyseal plate
- Initial diagnosis may be difficult and not made until complication of growth disturbance at epiphyseal plate occurs resulting in angular deformities
- Associated with growth disturbance
- These injuries have the worst prognosis of the Salter-Harris fractures
Structures involved in Salter-Harris fractures
|
Type |
Involves epiphyseal plate |
Fracture of metaphysis |
Fracture of epiphysis itself |
I |
Yes |
|
|
II |
Yes |
Yes |
|
III |
Yes |
|
Yes |
IV |
Yes |
Yes |
Yes |
V |
Yes |
|
|
- Clinical Findings
- Point tenderness
- Pain
- Swelling
- Limitation of motion
- Imaging Findings
- Soft tissue swelling
- Depending on the type of fracture, some displacement of the epiphysis or corner sign (Thurston-Holland fragment)
- Conventional radiography remains study of first choice
- CT with multiplanar reconstruction has been used in problem cases
- Ultrasound can be helpful in infants whose cartilage has not yet ossified
- MRI in problem cases
- Complications
- Complications are rare
- In general, the higher the number, the more likely the complication so that Salter-Harris types Iv and V have the highest associated complications
- Greater risk for complication comes with fracture of distal tibia followed by distal femur
- Primary complication is growth plate disturbance
- Early closure
- Closure of only a portion of the plate resulting in angular deformity

Salter-Harris III Epiphyseal Fracture. There is a longitudinal lucency (blue arrow) in the epiphysis that represents a fracture. All Salter-Harris fractures, by definition, involve the epiphyseal plat, even though those fractures may not be visible.
For this same photo without the arrows, click here
For more information, click on the link if you see this icon 
|
|
|